Форум общения  больных людей. Неизлечимых  болезней  нет!


Вернуться   Форум общения больных людей. Неизлечимых болезней нет! > Основной форум для выздоравливающих > Помощь

Ответ
 
Опции темы Опции просмотра
Старый 17.04.2018, 18:30   #11
Olabyoric
Местный
 
Регистрация: 06.02.2018
Адрес: holy@olabyoric.ru
Сообщений: 121
Спасибо: 16
Спасибо 15 в 13 постах
Репутация: 10
По умолчанию

УВАЖАЕМЫЕ ФОРУМЧАНЕ

Этот форум жизни уже давно превратился в фабрику смерти. Если внимательно проанализировать, то многие темы давно созданы покойниками, например «Рак почки, 4 стадия. Нужно жить дальше» по адресу: http://forumjizni.ru/showthread.php?t=12421. Этот человек (Толик) давно умер, врачи не смогли в общем-то не старого человека спасти от онкологии. Но зато организовали целый международный картель по торговле онко- и другими препаратами. Вы откройте ночью или рано утром рубрику «Новые сообщения» и убедитесь, что вся она (на 90-95 %) состоит из объявлений типа «куплю-продам». Эти торговцы смертью, расталкивая друг друга локтями, пытаются впарить несчастным больным очередную порцию отравы за большие деньги. Врачи и их подельники на этом форуме изо всех сил «разоблачают» целителей, которые как бы одурачивают людей и наживаются на их горе. А сами они чем занимаются? Сами они вполне официально убивают больных людей миллионами и не несут за это практически никакой ответственности. При этом делают они эту работу за очень немалые деньги, оборот которых не идёт ни в какое сравнение с доходами целителей. Он огромен, он на порядки выше доходов целителей. Я, например, за 6 лет, пролечил более тысячи больных бесплатно, потому что Высшие Силы не позволяли мне брать деньги с больных людей. Всё это время я жил на одну пенсию и не роптал. А вы покажите мне такого врача, который бы ходил на работу ради благотворительности. Я согласен с тем, что у всех дети, семьи и их надо содержать, т. е. надо получать зарплату. Так, извините, какого рожна, вы отказываете в этом праве другим людям, которые не купили медицинский диплом в переходе, а помогают людям тем, чем их наградил Господь, своим даром целителя. И поверьте, у многих этот дар значительно превосходит те знания, которые врачи получили в медицинских институтах. Он действительно помогает лечить многие неизлечимые (для официальной медицины) болезни. А что делается на этом форуме? Администрация специально наняла профессиональных троллей (Муха и другие), которые безосновательно нападают на всех, кто предлагает услуги нетрадиционной медицины, при этом грубо унижают, оскор***ют. И админ с модераторами закрывают свои бесстыжие глаза на эти безобразия и не принимают никаких мер по защите правил поведения на форуме, ими самими же написанными. Например, Мухе за его наглое, омерзительное поведение ни разу не было сделано предупреждение админом, это делали только пользователи. Зато экстрасенсов немедленно наказывают за каждый чих, и справедливости не добьёшься. Поэтому делаю вывод, что за всем этим стоит админ и его команда, и они несут ответственность за оболванивание несчастных больных людей, которые приходят сюда за помощью, одураченные сладкой вывеской «форум жизни», за которой фактически скрывается отлаженный механизм циничного обмана, настоящая «фабрика смерти». Я никогда не отрицал, что среди экстрасенсов много мошенников (я об этом писал в своём ЖЖ: https://olabyoric.livejournal.com ), так их и среди врачей огромное количество. Но это не означает, что все такие, есть приличные люди и в оффициальной медицине и в нетрадиционной. Я не просто с потолка беру эти сведения, у меня вся родня вокруг с медицинскими дипломами. Раньше они меня лечили, а теперь, когда я стал целителем, они требуют, именно требуют от меня помощи, когда у них что-то неладно со здоровьем. И попробуй откажи, начинаются обиды. А почему так происходит? А потому что они убедились за много лет, что моя помощь эффективна, безопасна и мгновенна. Не надо сдавать анализы, мучиться ожиданием результата и отравляять себя таблетками. То, что врачи делают за недели-месяцы, я делаю за несколько минут, иногда часов. Это диагностика и лечение. Лечение может быть мгновенное, если это резкая боль, или 2-3 месяца, если что-то более серъёзное. Иногда бывает и несколько лет, но это уже связано с тяжёлыми травмами. Занимаясь целительством я основной упор делал на полный отказ от таблеток. Но практика показывает, что если больной много лет принимал препараты от различных хронических заболеваний, ему нельзя резко отменить всю химию. Это надо делать постепенно снижая дозы препаратов. Таким образом я за 5 лет добился полной отмены таблеток от болезней сердца, печени, желудка, вен, артерий, всех видов аллергии. Раньше я пил за день по 20-30 таблеток, сейчас 1-2 или ни одной. У меня от рождения наследственные гипертензия и СД-2. Сахарный диабет я почти победил, только изредка принимаю таблетки по необходимости, при этом употр***яю в пищу сахар в чае, белый хлеб и выпечку, варенье, сладкие фрукты, конфеты. Всё это в умеренных дозах. А вот мёда за 2 последние года я съел около 60 кг. Сейчас правда не могу смотреть в его сторону, тошнит. А вот когда остальные сладкие продукты было нельзя употр***ять, мёд ел без ограничений и сахар в крови был в норме, иногда повышался, тогда пил таблетки. И вообще я делал эксперимент, примерно полгода не принимал таблетки от гипертензии и СД-2. И не контролировал, просто забыл об этих болезнях. Но последнее нельзя повторять никому. Мне можно, потому что меня в любом случае спасут Святые Апостолы. Это происходило уже многократно. Если у кого-либо ещё есть такая защита, тогда пожалуйста, а иначе ни-ни.
Olabyoric вне форума   Ответить с цитированием
Старый 17.04.2018, 18:31   #12
Olabyoric
Местный
 
Регистрация: 06.02.2018
Адрес: holy@olabyoric.ru
Сообщений: 121
Спасибо: 16
Спасибо 15 в 13 постах
Репутация: 10
По умолчанию

И напоследок приведу пример беспрецендетного мошенничества официальной медицины, о котором могут знать только врачи, столкнувшиеся с этим, и то не все. И о котором не знают простые граждане. В конце 2017 г. моей жене - медику с многолетним стажем, пришлось проходить переподговку на базе медуниверситета им. Пирогова. Такая процедура обычно проводится 1 раз в 5 лет. При этом ежегодно еще могут проводиться различные мероприятия по повышению квалификации в различных направлениях медицинского профобразования-терапия, кардиология, внутренние болезни и т. д. Так вот, в 2017 г. жена впервые столкнулась с новой программой дистанционного повышения квалификации, называется она «АС ДПО или ЕОИС РНИМУ им. Пирогова» https://fdpo.rsmu.ru/fdpo/login.jsp Попасть в эту программу постороннему невозможно. Доступ есть только у врачей, получивших путёвку на обучение по этой программе. Вход по логину и паролю. Раньше жена никогда не обращалась ко мне за помощью, а в этот раз попросила посмотреть почему она не может ответить ни на один билет правильно. Не знаю на каком уровне эта афера была придумана, или на самом высоком, или на нижнем, но сделано всё было тупо гениально для вымогания денег у обучающихся. В билете 10 вопросов, ответить на которые в общем-то подготовленному врачу практически возможно на 90-100%. Но вся изюминка в том, что ответить надо то ли за 15, то ли за 30 минут, а проверить правильность ответа невозможно, через указанное время этот билет закрывается и больше его открыть невозможно. И всегда получаешь сообщение о том, что ответ неверный. В программу изначально были заложены неверные ответы. Конечно мы не сразу поняли в чём подвох и честно пытались многократно ответить правильно хотя бы на один билет. Нам это так и не удалось. И даже больше, это не удалось никому из сотен врачей, проходящих этот тест одновременно с моей женой. И все они, когда поняли в чём дело, вынуждены были собрать по 5-10 тысяч рубликов и заплатить тому, кто мог поставить отметки о прохождении теста. Потом этим врачам выдали сертификаты государственного образца об успешном окончании этого курса. И это на 5 лет. Не знаю на сколько поумнели от такой переподготовки другие медики, а моя жена попала на больничный с кризом, потому что не могла понять, почему она после многолетней практики ничего не понимает в своей профессии и не может сдать этот тест. И такое было не только с ней, некоторые просто бросили эти курсы и работу. А пожаловаться никто не рискнул. Для тех, кто планировал продолжать работу, это просто невозможно, могут и в психушку упечь, чтоб не выносил сор из избы. А работать медиком больше не сможет, это наши чиновники от медицины умеют делать, отработанная тактика. (Я в этом смог убедиться на примере нескольких врачей-коллег жены. Причём этих нелюдей (чиновников) не останавливает ничто, даже беременность женщины-врача, наличие малолетних детей и др. Я это не с кондачка говорю, есть примеры. Особенно был в этом отношении беспредельщиком бывший в прошлом руководителем департамента здравоохранения Москвы некто А. Сельцовский. За то, что его протеже не приняли без очереди срочно в поликлинике и не дали ей выписку в нарушение норм горздрава, молодая врач-гинеколог, мать двоих малолетних детей, была немедленно уволена без права работы в здравоохраненнии Москвы. Вот такие чудовища управляли, да и сейчас командуют нашей медициной.) А тех, кто не собирался работать, предупредили так, что они постарались всё это забыть, как кошмарный сон. В этом году я не могу попасть в программу, поэтому не знаю повторили ли они свою мошенническую схему. Но за прошлый год ручаюсь, всё видел своими глазами и был поражён наглости чиновников от медицины. И куда смотрит минздрав? Впрочем, ясно куда. В стране полно фактов нарушений, да и просто беспредела в медицинском сообществе. Так что где больше мошенников, Муха может сосчитать и без меня. Или среди нескольких тысяч экстрасенсов, или среди миллионов врачей. И ещё меня поражает наглость этого тролля отрицать то, в чём он разбирается как свинья в апельсинах. Я не отрицаю науку, если она делается настоящими учёными, я отрицаю лже-науку, в которой мошенники типа Мухи чувствуют себя как рыба в воде. Я не могу уважать таких людишек за их оголтелую беспринципность и продажность. А админа я «поздравляю» с отличным приобретением. Мне вот только непонятно, господа, как вы собираетесь отмываться от этих несмываемых грехов. Вы зря думаете, что Ад это выдумки верующих. Ад - это суровая реальность, и каждый из вас в этом убедится после смерти. Я специально проинспектирую ваше содержание в Аду и прослежу, чтобы Дьявол проявил к вам повышенное внимание. Сейчас вы в это не верите, но после убедитесь, что я вас честно предупредил. До встречи в Аду.

На этом форуме развернулось противостояние двух позиций, двух мировоззрений. С одной стороны лживые прихвостни админа, охраняющие свою кормушку, с другой люди, желающие помочь больным. За правду здесь банят, блокируют навсегда. А почему? Если мы не правы, так подайте на нас в суд, докажите, что мы мошенники, как вы утверждаете. Только, если мы мошенники, то кто тогда вы? Преступники? Вы оболваниваете доверчивых людей ради наживы и при этом обвиняете в этом других. А совесть где? Или вы её продали золотому тельцу? Вы удаляете одного за другим тех, кто говорит о вас правду. Последний был Шаман. Вы можете удалить и меня, я уже давно сам себя удалил, потому что презираю таких мерзавцев, которые сами могут любого обложить трёхэтажной нецензурщиной, а их не сметь даже лжецами обозвать. Это я говорю для беса Максимилиана, админа и его верного пса мухи. Подавайте на меня в суд, ничтожества. Для меня ваш суд это ничто. Для меня есть высший суд - это мнение Всевышнего и Апостолов.

Напоследок хочу обратиться к людям, которые нуждаются в помощи, врачебной или целительской, без разницы, лишь бы помогло. Не верьте этим оборотням в белых халатах. Найдёте врачей, которые смогут вам помочь, лечитесь у врачей. Не смогли вылечить врачи, обращайтесь к целителям, они здесь есть, и не только на этом форуме. Прежде всего ищите тех, которые с вас не требуют предоплату, а после решайте сами - платить или нет. Если вам не смогли помочь, так и платить не стоит, а если помогли, так отблагодарите. Всё же самое дорогое у человека это жизнь, всё остальное потом. Мёртвому уже всё равно. Поэтому не доводите себя своими предубеждениями, или лживыми речами Мухи и ему подобных, до фатального исхода. Человек, пока жив, должен цепляться за любую возможность продлить свою жизнь. А многие из вас эту возможность игнорируют. Я это вижу даже по этому форуму. В конечном итоге окончательное решение - это личное дело каждого из вас. Я только об одном прошу, не будьте глупцами, берегите свои жизни, они единственные и неповторимые. Подумайте о близких, родных, любимых для которых ваша преждевременная смерть будет невосполнимой утратой. Не жалко себя, пожалейте хотя бы их.

Здесь есть много честных людей, но они запуганы бандой админа. Не надо бояться, высказывайте своё мнение, как это уже делают некоторые отважные, за что получают потоки брани и оскорблений. Этот форум захватили нечисти, оборотни. Давайте очистим его общими усилиями. Я требую восстановления честного имени всех удалённых и забаненных. И это только малая часть того, что вы-хозяева форума должны сделать для восстановления справедливости.
Olabyoric вне форума   Ответить с цитированием
Старый 18.04.2018, 01:50   #13
Валентин555
Местный
 
Регистрация: 18.04.2018
Адрес: Сибирь.
Сообщений: 267
Спасибо: 73
Спасибо 30 в 28 постах
Репутация: 10
Радость Могу помочь

Могу помочь в лечении. Все опухоли неоерабельны. Лечение бесплатное, за твой счет. Гарантия успеха 100 %. Одно условие - неразглашение тайны лечения.
Валентин555 вне форума   Ответить с цитированием
Старый 18.04.2018, 08:13   #14
Валентин555
Местный
 
Регистрация: 18.04.2018
Адрес: Сибирь.
Сообщений: 267
Спасибо: 73
Спасибо 30 в 28 постах
Репутация: 10
По умолчанию

Рак мозга излечим на любой стадии. Пока не пошли необратимые изменения, требующие специального оборудования для поддержания деятельности организма. Лечение обходится в месяц от 500 рублей до 2000 руб. Гарантия успеха 100 %. Никаких молитв и магий. Лекарства и диета. Кто хочет получить помощь - обращайтесь. 2 условия. Отказ от вас врачей и официальное подтверждение, что вы тот за кого себя выдаете.

Добавлено через 3 минуты
Лечиться будете сами. Деньги мне не нужны. По итогам лечения простое спасибо и определенные обязательства, не имеющие отношения к нарушениям законов РФ и морально-этических норм.
Валентин555 вне форума   Ответить с цитированием
Старый 19.04.2018, 10:24   #15
Валентин555
Местный
 
Регистрация: 18.04.2018
Адрес: Сибирь.
Сообщений: 267
Спасибо: 73
Спасибо 30 в 28 постах
Репутация: 10
По умолчанию

Что и требовалось доказать. Раковые больные не хотят лечиться. Хотят лежать овощем, стонать и жалеть себя, передвигаясь потихоньку в гроб. Наверное в этом есть вселенская истина... Ограниченное мышление и энергетика, неверие ни в себя ни в помощь...
Валентин555 вне форума   Ответить с цитированием
Старый 14.06.2018, 02:58   #16
Валентин555
Местный
 
Регистрация: 18.04.2018
Адрес: Сибирь.
Сообщений: 267
Спасибо: 73
Спасибо 30 в 28 постах
Репутация: 10
По умолчанию

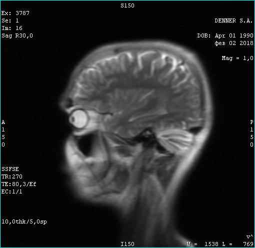
Фома неверующий. Вот этого парня я сейчас лечу. Опухоль за 3 месяца лечения уже не активна. Частично пошло ее разложение. Тремор сердца исчез. Походка восстановилась. В августе скину новое мрт с результатом лечения. Динамика на снимке. Ядро опухоли гибнет за 3 месяца. Господа!!!! За 3 месяца!
Изображения
Тип файла: jpeg 02.02.2018.jpeg (22.5 Кб, 732 просмотров)
Валентин555 вне форума   Ответить с цитированием
Старый 14.06.2018, 03:00   #17
Валентин555
Местный
 
Регистрация: 18.04.2018
Адрес: Сибирь.
Сообщений: 267
Спасибо: 73
Спасибо 30 в 28 постах
Репутация: 10
По умолчанию

Вверху февраль 2018. Внизу май 2018
Изображения
Тип файла: jpg 08.05.2018 г.jpg (24.0 Кб, 749 просмотров)
Валентин555 вне форума   Ответить с цитированием
Старый 14.06.2018, 03:15   #18
Валентин555
Местный
 
Регистрация: 18.04.2018
Адрес: Сибирь.
Сообщений: 267
Спасибо: 73
Спасибо 30 в 28 постах
Репутация: 10
По умолчанию

Эти ответы адресованы Денису Марочкину, создателю этой темы, который написал мне - дословно -"Не лгите, Опухоль мозга не лечится, так как не операбельна". Денис! Зачем ее оперировать???? Твое неверие тебя погубит. Эх, Денис Денис...

Добавлено через 3 минуты
Опухоль контраст не накапливает. Связи с костью уже не имеет. Головка опухоли начала разлагаться. Врачи в шоке. А я злорадствую. Сергей мне поверил и сейчас копает огород на Алтае, хотя должен был умереть в июле. Моя карма получила жирный плюс...

Добавлено через 4 минуты
Самое сложное в лечении - восстановление пораженных участков и "изъятие" опухоли из головы. А вот убить опухоль - легко.... Очень легко...

Добавлено через 3 минуты
Фото мрт сделаны немного в разных ракурсах, (зачем, непонятно-наверное чтобы не признавать эффект оздоровления ), но положительная динамика все равно видна. И пациент начал жить полноценной жизнью - секс, загар, копание огородов и рыбалка...
Валентин555 вне форума   Ответить с цитированием
Старый 14.06.2018, 07:30   #19
Валентин555
Местный
 
Регистрация: 18.04.2018
Адрес: Сибирь.
Сообщений: 267
Спасибо: 73
Спасибо 30 в 28 постах
Репутация: 10
По умолчанию

igorgold555@mail.ru мой новый емайл
Валентин555 вне форума   Ответить с цитированием
Старый 14.06.2018, 12:22   #20
Анатолий Муха
Заблокирован
 
Регистрация: 29.12.2016
Сообщений: 2,253
Спасибо: 0
Спасибо 125 в 113 постах
Репутация: 9
По умолчанию

Иммунитет задается каждому на генетическом уровне при рождении. Повысить его возможно только через вакцинации, по пока только от некоторых инфекций.
Что касается раковых клеток, вируса герпеса - то они есть у всех людей, но вот при сильном иммунитете они блокируются иммунной системой, а при слабом иммунитете (да еще и при запуске старения) начинается размножение раковых клеток. Герпес проявляется еще в молодости и зачастую является предвестником онкологии.
Не верьте шарлатанам: иммунитет повысить ничем НЕЛЬЗЯ!

Витамины, целители и прочая дрянь БЕСПОЛЕЗНЫ.

Медицина с трудом лечит ОРЗ...

А вот вирусы гриппа, вирус ВИЧ блокируются сильным иммунитетом и люди заражаясь не заболевают! Доказано, что около 30 процентов Русов имеют такой высокий иммунитет (русские, украинцы и белорусы - это генетически единый этнос в основном с гаплотипом ДНК R a1)
Анатолий Муха вне форума   Ответить с цитированием
Сказал(а) cпасибо
Валентин555 (15.06.2018)
Ответ

Социальные закладки


Ваши права в разделе
Вы не можете создавать новые темы
Вы не можете отвечать в темах
Вы не можете прикреплять вложения
Вы не можете редактировать свои сообщения

BB коды Вкл.
Смайлы Вкл.
[IMG] код Вкл.
HTML код Выкл.

Быстрый переход


Текущее время: 21:07. Часовой пояс GMT.


Powered by vBulletin® Version 3.8.6
Copyright ©2000 - 2011, Jelsoft Enterprises Ltd. Перевод: zCarot
Форум общения и взаимопомощи больных людей. Советы для выздоровления.